首例自体血三氧治疗COVID-19病毒肺炎危重病例报告发表于The Innovation期刊
2020-12-01
截止到2020年11月30日,根据世界卫生组织统计数据表明,全球累计确诊新型冠状病毒肺炎(COVID-19)突破6200万,其中死亡人数突破145万。随着北半球进入冬季,全球新冠疫情形势迅速变化,第二波疫情再次爆发。面对严峻形式,各国都采取了严格的防疫措施,一些欧洲国家甚至再度做出“封城”决定。但由于目前仍没有确切有效的治疗药物,疫情防控异常艰难。因此,找到有效的治疗药物、探索新的治疗手段是目前亟需解决的问题。
习近平总书记在多个场合强调科技战“疫”的重要性。他指出,战胜疫情离不开科技支撑,要综合多学科力量加快科研攻关,广大科研人员要探索新的治疗手段,尽最大可能阻止轻症患者向重症转化,提升重症、危重症救治水平。
新冠肺炎疫情伊始,天津大学迅速整合学校医学部与附属海河医院的科研力量和临床资源,组建起一支包括基础医学、临床救治、医疗装备等多学科的专家团队,同时注重加强国际合作,在对新冠肺炎的临床表现进行深入研判后,提出医用三氧(O3)融注方案进行患者自体血液治疗,并与市级医疗救治专家组反复论证该疗法的可行性,对方案的设计与实施展开协同攻关。
新冠肺炎自体血三氧疗法临床试验研究方案于2020年2月16日确定,通过海河医院伦理审查和中国临床试验注册中心审核后,在天津战疫一线海河医院成功救治包括危重症在内的 4 例COVID-19病毒肺炎确诊患者,并被纳入2020年3月4日天津市卫健委发布的新冠肺炎救治“天津模式”专题报道。

图1 自体血三氧治疗COVID-19患者流程
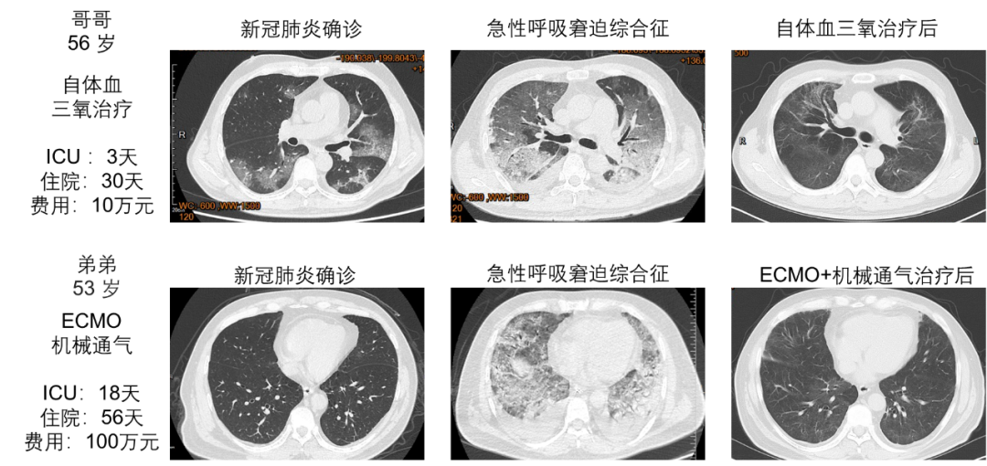
2月16日至17日,1 例重症和 2 例普通型患者(年龄为60-77岁)分别接受了自体血三氧治疗。治疗后,患者呼吸困难、剧烈咳嗽、胸闷乏力等症状均得到了明显改善,并逐渐康复,经专家组评估后均已顺利出院。特别值得一提的是,2月20日,1 例危重症患者(56岁)同意采用自体血三氧治疗,该患者的弟弟(几乎同时出现急性呼吸窘迫综合征)则实施机械通气(MV)、体外膜肺氧合(ECMO)等常规抢救措施。使用自体血三氧治疗患者(兄)第一次使用后氧合指数明显改善,连续使用9次后病情迅速缓解,影像学渗出影明显吸收,住院30天。与其相比,弟弟虽同样抢救成功,但住院天数长达56天,其治疗费用是其兄的10倍。
综合病例结果分析,自体血三氧疗法临床起效较快,有效缓解了COVID-19病毒对包括危重症在内患者的肺部组织损伤,并且其为非侵入性疗法,不需镇静、制动,患者耐受性较好,操作过程简便易行,可由医护人员接受培训后在患者床旁独立完成,展现出良好临床应用潜力。

图2 自体血三氧治疗和ECMO常规抢救治疗患者医学影像对比
自体血三氧疗法相关研究结果首先于2020年4月8日刊登在爱思唯尔(Elsevier)下属全球领先的预印本服务器和早期研究平台SSRN(链接https://papers.ssrn.com/sol3/papers.cfm?abstract_id=3561379)。该平台由一系列专业化研究网络组成,与The Lancet和Cell等知名期刊合作,为分享早期健康和医学研究发布一系列新的预印本。作为国际首例自体血三氧治疗COVID-19病毒肺炎危重病例报告,预印本发布后引发学界的高度关注和认可,先后被评为Top 10% Authors及3次当选Top 10论文。
该论文正式版于2020年11月4日在线发表于The Innovation期刊。
(DOI: https://doi.org/10.1016/j.xinn.2020.100060)
The Innovation是由中国科学院青年创新促进会与Cell Press共同创办,目前有来自全球19个国家的135位编委会成员,其中40%编委来自海外,包含诺贝尔奖获得者及数十位各国院士。The Innovation杂志2020年5月21日首创面世,目前即时指数(Immediacy Index)为3.571,约相当于影响因子16(IF=16)。
文章发表后收到学界广泛关注。发布一周后,该论文即成为阅读量最高(Most Read)文章,专家评论一致认为自体血三氧疗法为COVID-19危重症患者的抢救和治疗提供了新的思路。


